Questo sito fa uso di cookie. Continuando ad esplorare questo sito, accetti l'uso dei cookie da parte nostra.
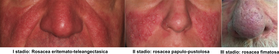
La rosacea è una dermatosi cronica, che interessa di solito l'area centrale del volto e si manifesta con eritema transitorio o persistente, papulo/pustole infiammatorie fino ad arrivare ad ispessimento cutaneo ( FIMA). E’ accompagnata da una sintomatologia puntoria, bruciore, edema e talora interessamento oculare. Classicamente si suddivide in sottotipi a seconda della gravità: rosacea eritemato-teleangectasica, rosacea papulo-pustolosa, rosacea fimatosa.

La valutazione dermatologica permette l’inquadramento dello stadio evolutivo e consente la formulazione di un approccio terapeutico personalizzato mediante trattamenti locali e generali di tipo farmacologico abbinati a specifici interventi dermochirurgici con utilizzazione di laser e sorgenti di luce pulsata ad alta intensità.

Questo sito fa uso di cookie. Continuando ad esplorare questo sito, accetti l'uso dei cookie da parte nostra.